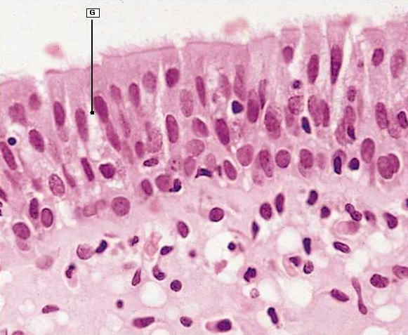
Fig. 10.2 Nasal epithelium.
Micrograph showing the characteristic ciliated columnar epithelium lining the nasal cavity. There are occasional
scattered mucus-secreting goblet cells (G).